Nueva campaña solidaria para reunir fondos para una intervención quirúrgica
La campaña es para una mujer que sufrió un accidente y debe ser operada por una fractura sufrida.
Se ha iniciado una nueva campaña solidaria en Junín y se están juntando donaciones para armar una rifa solidaria para una mujer que debe sre intervenida quirúrgicamente debido a un accidente sufrido 1l de agosto.
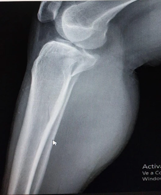
Su hija contó a JUNIN24 que "A mi mamá la chocaron el 1ro de agosto, tres chicos que iban en moto sin luz, sin freno, sin casco, sin seguro, sin nada, llamaron a la ambulancia y de ahí brillaron por su ausencia(es gente que me conoce a mí y a mí familia). Mí mamá ahora esta enyesada, con una fractura de platillo y tibial, tenemos que tratar de que se opere antes de que el hueso se llegue a soldar, ya que sino después tienen que volver a romper todo para poner las prótesis; estamos en espera de las prótesis pero el estado no está mandando hace más de tres meses, no podemos esperar tanto ya que la perjudica a mí mamá, porque sufre de diabetes e hipertensión también".
2Estamos tratando de juntar la plata así que si alguien puede colaborar con algo de dinero, lo que puedan, todo sirve o cosas para poder armar una rifa, se los agradecería muchísimo, quienes no puedan colaborar por favor me ayudenme a difundir para poder conseguir el dinero que necesitamos. Las prótesis nos salen casi 1 millón, mañana me traen el presupuesto impreso así pueden corroborar que es realmente para esto, pero les dejo unas fotos para que vean y cualquier cosita por favor escríbanme", contó su hija.
"Les dejo el alias de mí mamá por si alguien puede y quiere colaborar de asi sea 100 pesos. Y si tienen donaciones para la rifa las voy a buscar enseguida, solo avísenme!! Alias : Ruth.Nahuel" contó su hija quien dejó su número de celular para quien desee contactarse y colaborar: 2364-540995

.jpeg)

.jpeg)








No hay comentarios